Video

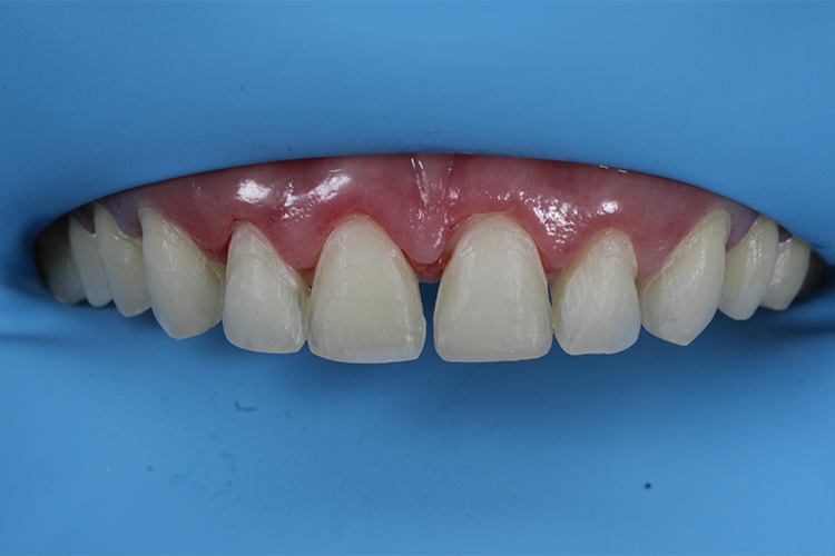
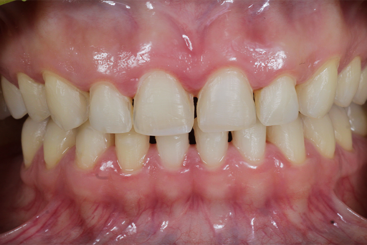
Paciente refiere que hace cinco años se realizó carillas en resina compuesta en dientes anteriores superiores e inferiores, manifiesta insatisfacción por el color, la forma y el tamaño de las carillas; refiere halitosis y gingivorragia al cepillado; niega odontalgia y/o movilidad dental.
PADDINGTON IN PERU brings Paddington's story to Peru as he returns to visit his beloved Aunt Lucy, who now resides at the Home for Retired Bears. With the Brown Family in tow, a thrilling adventure ensues when a mystery plunges them into an unexpected journey through the Amazon rainforest and up to the mountain peaks of Peru.
Let's Chat!
0
    0
    Tu Carro
    Tu carrito esta vacíoVolver a la tienda

    Original price was: S/ 1,500.00.Current price is: S/ 500.00.

    0
    No Responses/5

    LIMITED EDITION

    Descuentos especiales para alumnos de las universidades en la especialización de Estomatología. Solicita el catalogo PERU DENTISTRY. Suscribete.

    @ 2024 Perú Dentistry

    Original price was: S/ 1,500.00.Current price is: S/ 500.00.

    0
    No Responses/5

    Original price was: S/ 1,200.00.Current price is: S/ 720.00.

    0
    No Responses/5

    Original price was: S/ 1,250.00.Current price is: S/ 650.00.

    0
    No Responses/5

    Original price was: S/ 149.00.Current price is: S/ 109.00.

    0
    No Responses/5

    Original price was: S/ 20,000.00.Current price is: S/ 8,999.99.

    0
    No Responses/5

    Original price was: S/ 2,500.00.Current price is: S/ 1,500.00.

    0
    No Responses/5

    Original price was: S/ 3,000.00.Current price is: S/ 1,399.99.

    0
    No Responses/5

    Descuentos especiales para alumnos de las universidades en la especialización de Estomatología. Stock de unidades: 1.000. Stock minimo por producto: 1 unidad. El descuento no aplica al precio del delivery. La opcion de recojo en tienda es valido solo en Lima Metropolitana. Solicita el catalogo 2024.