Bondent 1020S – 3 in 1 CBCT

8 months ago
ico

Bondent 1020S – 3 in 1 CBCT

Bondent 1020S - 3 in 1 CBCT

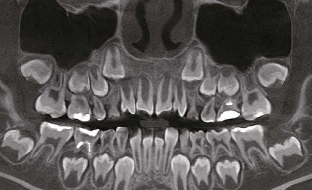
Bondent CBCT: AI-Based Quasi-Spectrum Metal Artifact Correction.

Bondent CBCT, consists of a series of models with FOV 18*10 cm and 16*8 cm.
AI-based-quasi-spectrum metal artifact correction, Lowe-dose CT with AI enhanced Signal-to-noise ratio, Intelligent 3D pano, Ceph AI automatic tracing point

Reduce Artifacts
Intelligent anti-artifact technology provides a clearer and accurate digitisation and decreases chances of misdiagnosis.

Intelligent Noise Reduction
Committed to resolve the intrinsic deficiency of traditional panoramic film: distortion, overlap.

Intelligent 3D Pano
Based on the shape of each patient’s maxilla and mandible, the system automatically generates 33 slices of 0.8mm thick CT-panoramic images at just one touch. You can view 16 CT panoramic images on the screen simultane-ously. It’s much more intuitive and convenient when compared with traditional pano.

Theory of Onion
XPI’s proprietary AI algorithm not only recognized maxillary, mandible and dental arch, but also sketches the biological curvature of teeth automatically.

OnDemand 3D Dental
-DICOM digital solutions
-Bone and bone mass measurements in the implanting area
-Review wisdom teeth and important anatomical structures
-Restoration oriented implanting simulation
-More accurate MPR tomograpy in clinical diagnosis
-Better communication with patients

Original software ONESYSTEM
Our imaging software is intuitive and easy to use. It is designed with a wide range of practical functions for your daily applications, right through to patient consultations.

Technical Data
● Field of View: 16cm x 8cm
● Camera Mode: CT, Pano, Ceph
● Sensor Type: CT, Pano (CMOS), Ceph (CCD)
● Detector Switching Mode: Automatic
● Patient Positioning: Standing/Seated/Wheelchair Accessbile
● Installation: Upright
● Pixel Value: 70um,100um,150um,200um,250um,300um
● Spatial Resolution: >1.8lp/mm (CT and Panoramic mode)
                                        >2.0lp/mm (Cephlo Mode)
● Gray Scale: Mbit
 Reconstruction Time: Less than 60s
● Focal spot: 0.5mm
● Exposure Time: CT: 8s or 24s;
                                 Pano: Ms;
                                 Ceph: 4.2s or 8.4s

Workstation PC
– Model: Hpworkstation
– Graphics Card: GTX1660 (6G only)
– Monitor: HP 23.8″, 1920×1080 resolution
– Operation System: Windows 10 64
– Workstations ASIA
– CPU: i5
– Memory: 16GB DDR42 666 DIMM ECC Registered Memory
– Hard Disk: 1TB7200RPM SATA3.5in, 256G SSD
– Drive: 9.5mm DVD-Writer 1st ODD
– Keyboard: Business Slim PS/2 Wired Keyboard PRC
– Mouse: HP Optical USB Mouse

● Operational Software
Bon-Masterimage management module;
Bon-Capturepatientscanningmodule;
Bon-Touch touchscreen module;
OnDemand3DTM 3D post-processing module 

Bondent 1020S – 3 in 1 CBCT Bondent CBCT: AI-Based Quasi-Spectrum Metal Artifact Correction. Bondent CBCT, consists of a series of

MERCH 👕 LIMITED EDITION 😍

Últimas Noticias

PRE - VENTA ⚡ Oferta Flash ⚡

Catálogos

Próximos Eventos

Últimos Productos

Perfiles Destacados en el Mundo

Ver Categorías

Categorias

Let's Chat!
0
    0
    Your Cart
    Tu carrito esta vacíoVolver a la tienda

    Original price was: S/ 5,600.00.Current price is: S/ 2,399.99.

    0
    No Responses/5

    LIMITED EDITION

    Descuentos especiales para alumnos de las universidades en la especialización de Estomatología. Solicita el catalogo PERU DENTISTRY. Suscribete.

    @ 2024 Perú Dentistry

    Original price was: S/ 5,600.00.Current price is: S/ 2,399.99.

    0
    No Responses/5
    ico

    Bondent 1020S – 3 in 1 CBCT

    Bondent 1020S - 3 in 1 CBCT

    Bondent CBCT: AI-Based Quasi-Spectrum Metal Artifact Correction.

    Bondent CBCT, consists of a series of models with FOV 18*10 cm and 16*8 cm.
    AI-based-quasi-spectrum metal artifact correction, Lowe-dose CT with AI enhanced Signal-to-noise ratio, Intelligent 3D pano, Ceph AI automatic tracing point

    Reduce Artifacts
    Intelligent anti-artifact technology provides a clearer and accurate digitisation and decreases chances of misdiagnosis.

    Intelligent Noise Reduction
    Committed to resolve the intrinsic deficiency of traditional panoramic film: distortion, overlap.

    Intelligent 3D Pano
    Based on the shape of each patient’s maxilla and mandible, the system automatically generates 33 slices of 0.8mm thick CT-panoramic images at just one touch. You can view 16 CT panoramic images on the screen simultane-ously. It’s much more intuitive and convenient when compared with traditional pano.

    Theory of Onion
    XPI’s proprietary AI algorithm not only recognized maxillary, mandible and dental arch, but also sketches the biological curvature of teeth automatically.

    OnDemand 3D Dental
    -DICOM digital solutions
    -Bone and bone mass measurements in the implanting area
    -Review wisdom teeth and important anatomical structures
    -Restoration oriented implanting simulation
    -More accurate MPR tomograpy in clinical diagnosis
    -Better communication with patients

    Original software ONESYSTEM
    Our imaging software is intuitive and easy to use. It is designed with a wide range of practical functions for your daily applications, right through to patient consultations.

    Technical Data
    ● Field of View: 16cm x 8cm
    ● Camera Mode: CT, Pano, Ceph
    ● Sensor Type: CT, Pano (CMOS), Ceph (CCD)
    ● Detector Switching Mode: Automatic
    ● Patient Positioning: Standing/Seated/Wheelchair Accessbile
    ● Installation: Upright
    ● Pixel Value: 70um,100um,150um,200um,250um,300um
    ● Spatial Resolution: >1.8lp/mm (CT and Panoramic mode)
                                            >2.0lp/mm (Cephlo Mode)
    ● Gray Scale: Mbit
     Reconstruction Time: Less than 60s
    ● Focal spot: 0.5mm
    ● Exposure Time: CT: 8s or 24s;
                                     Pano: Ms;
                                     Ceph: 4.2s or 8.4s

    Workstation PC
    – Model: Hpworkstation
    – Graphics Card: GTX1660 (6G only)
    – Monitor: HP 23.8″, 1920×1080 resolution
    – Operation System: Windows 10 64
    – Workstations ASIA
    – CPU: i5
    – Memory: 16GB DDR42 666 DIMM ECC Registered Memory
    – Hard Disk: 1TB7200RPM SATA3.5in, 256G SSD
    – Drive: 9.5mm DVD-Writer 1st ODD
    – Keyboard: Business Slim PS/2 Wired Keyboard PRC
    – Mouse: HP Optical USB Mouse

    ● Operational Software
    Bon-Masterimage management module;
    Bon-Capturepatientscanningmodule;
    Bon-Touch touchscreen module;
    OnDemand3DTM 3D post-processing module 

    @ 2024 Perú Dentistry

    Descuentos especiales para alumnos de las universidades en la especialización de Estomatología. Stock de unidades: 1.000. Stock minimo por producto: 1 unidad. El descuento no aplica al precio del delivery. La opcion de recojo en tienda es valido solo en Lima Metropolitana. Solicita el catalogo 2024.